
The doctors at Clove Dental are highly qualified and trained Dental Experts. With average experience of over 20 years Clove Doctors have expertise in their field of dentistry.
The Doctors are trained to ease out any psychosomatic anxiety of the patient, thus making visit to dentist a pleasurable experience. They use the most advanced dental technology and consumables to ensure the best quality of care.
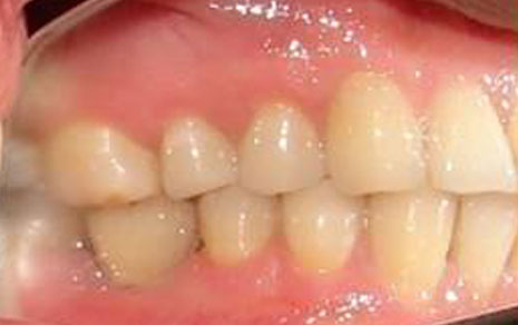
Single tooth dental implant is the replacement of single missing teeth over which prosthesis is fixed. It is the ideal solution for missing natural teeth.
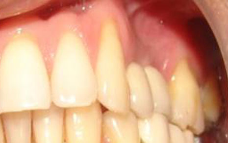
All on four Dental Implants is the total rehabilitation of edentulous patients. It is done by placing four implants over which prosthesis with teeth is fixed.
All on six Dental Implants is the total rehabilitation of edentulous patients with a better bone density over which prosthesis with teeth is fixed.